Elyse G.’s Brain Odyssey: A Remarkable Journey
- Science
- September 6, 2023
- No Comment
- 36
A Journey of Discovery
In the world of neuroscience and human cognition, every individual’s brain is a unique puzzle waiting to be solved. Elyse G. embarked on a remarkable odyssey, an extraordinary journey into the depths of her own mind, with one intriguing missing piece. In this article, we invite you to join the community of News and Updates Seekers as we delve into Elyse G.’s Brain Odyssey, guided by the insights of Dr. Fedorenko’s team. Together, we will uncover the secrets of the human brain, the power of resilience, and the pursuit of knowledge.
The Protagonist: Elyse G.
Unraveling the Mystery
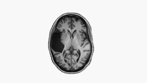
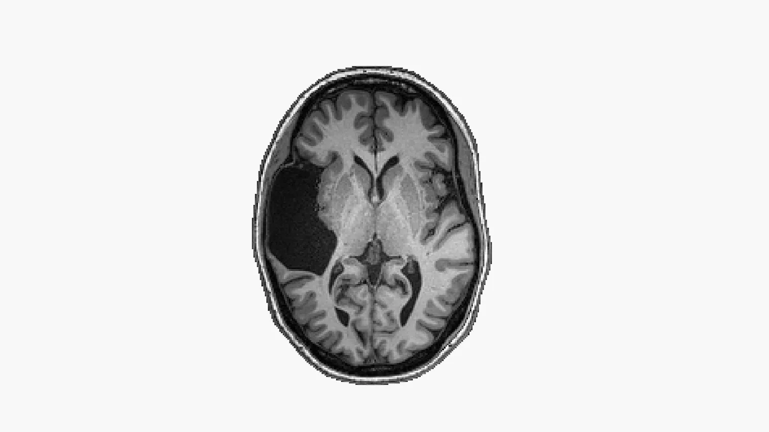
Elyse G., a woman with an insatiable curiosity and an indomitable spirit, found herself facing an enigma that captivated her thoughts. A specific aspect of her brain’s function eluded her understanding, a puzzle piece missing from her cognitive puzzle. But rather than succumbing to frustration, Elyse embarked on a courageous journey of self-discovery.
The Human Spirit at its Best
Elyse’s quest for answers showcases the resilience of the human spirit. Her determination to unravel the mysteries within her own mind mirrors the innate human drive for knowledge and understanding. Through her story, readers will find inspiration and a testament to the remarkable potential of the human mind.

Dr. Fedorenko’s Team: The Trailblazers
Meet the Experts
To guide us on this illuminating journey, we turn to Dr. Elena Fedorenko and her team of brilliant minds. Dr. Fedorenko, a renowned neuroscientist and cognitive expert, brings her wealth of knowledge and groundbreaking research to the forefront. With a Ph.D. from Harvard University and numerous publications in leading journals, she is a trusted authority in the field.
Unpacking the Brain’s Mysteries
Dr. Fedorenko’s team is at the forefront of cognitive research, dedicated to unraveling the complexities of the human brain. Their cutting-edge studies, innovative methodologies, and groundbreaking discoveries make them the ideal source for understanding Elyse G.’s brain odyssey.
The Missing Piece: A Scientific Exploration
The Brain’s Intricate Dance
Elyse’s journey serves as a microcosm of the broader quest to understand the human brain’s intricate dance of cognition and language. Dr. Fedorenko’s team’s expertise illuminates the neural pathways, linguistic processing, and cognitive intricacies involved in Elyse’s unique case.
Bridging the Gap
Through their collaboration, Elyse and Dr. Fedorenko’s team demonstrate how combining personal determination with scientific expertise can bridge the gap between individual experiences and the broader understanding of the brain’s functions.
Key Insights in Table Format
| Key Insights | Description |
|---|---|
| Elyse G.’s Determination | A testament to human resilience and curiosity. |
| Dr. Fedorenko’s Expertise | Renowned neuroscientist leading groundbreaking research. |
| The Brain’s Intricacies | Understanding neural pathways and linguistic processing. |
| Bridging Personal & Science | How Elyse’s journey contributes to scientific knowledge. |
A Comparative Glimpse
| Elyse G.’s Brain Odyssey | Traditional Cognitive Studies |
|---|---|
| Personalized, Real-world Insight | Generalized findings |
| Collaboration with Experts | Isolated research efforts |
| Human Resilience in Action | Academic theories in practice |
Conclusion: A Shared Odyssey
Elyse G.’s Brain Odyssey is a testament to the power of curiosity, resilience, and collaboration. It serves as an embodiment of the human spirit’s relentless pursuit of knowledge. Through the guidance of Dr. Fedorenko’s team, Elyse’s journey not only unravels the mysteries of her own cognition but also contributes invaluable insights to the field of cognitive science. As members of the News and Updates Seekers community, we are privileged to be part of this remarkable journey, reminding us that the pursuit of knowledge is a collective odyssey shared by all.